HORARIO: L-J (10:00 – 14:00 / 17:00 – 20:00) | V (10:00 – 14:00)
 
                                                            PREVENCIÓN DE CARIES Y ENFERMEDADES
 
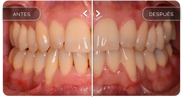
                                                                          PRECIOS DE LA LIMPIEZA DENTAL EN CÓRDOBA
El precio de una limpieza dental varía según el tipo de tratamiento y la complejidad del caso. En Clínica La Sierra, ofrecemos precios competitivos para limpieza dental estándar, profilaxis dental y otros tratamientos especializados. Para un presupuesto personalizado, te invitamos a agendar una consulta, donde evaluaremos tus necesidades y te proporcionaremos el costo exacto.




¿Buscas el mejor blanqueamiento dental en Córdoba? Ven a conocernos y descubre por qué somos referentes en odontología estética, tu primera consulta es gratuita.
Clínica Dental La Sierra
Dirección: Calle Teruel, 19, 14011 Córdoba
Teléfonos: 957 92 50 71 / 633 92 97 49
Correo electrónico: info@clinicalasierra.es
 
                                        Formación y Acreditaciones
- Colegiada Nº28015281
- Graduada en Odontología por la Universidad CEU San Pablo de Madrid
- Máster en Endodoncia, Estética y Restauradora – Universidad Rey Juan Carlos I
- Máster en Prótesis sobre Implantes – Universidad Rey Juan Carlos I
Áreas de Especialización
- Endodoncia avanzada
- Odontología estética.
- Rehabilitación dental integral.
- Odontopediatría.
- Restauraciones dentales.
¿Por qué elegir a la Dra. Carreño?
- Formación constante en las últimas técnicas.
- Tratamientos personalizados para cada paciente.
- Especialista en casos complejos.
- Enfoque integral de la salud dental.
- Experiencia en pacientes infantiles y adultos.
¿Quieres conocer más sobre cómo podemos ayudarte?
 
         
         
                                                             
                                                             
                                                             
                                                            